• Mandag - fredag kl. 8 - 17
  • Telefontid kl. 8 -12 og kl. 13 - 16
  • Vagttelefon familiedyr 96198080
  • Vagttelefon kvæg 92728080
96 19 80 80

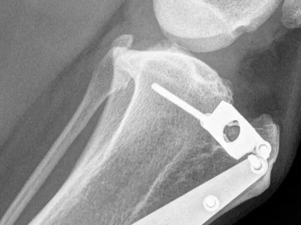
TTA og andre led- og knogleoperationer

Thy Dyrehospital udfører et bredt udvalg af led- og knogleoperationer for at hjælpe både hunde og katte med at genvinde deres mobilitet og livskvalitet.

Vi har stor erfaring med at behandle skader og lidelser, der ofte kræver kirurgisk indgreb, såsom korsbåndsskader, patellaluxation og skader efter fald eller ulykker. Vores team er specialiseret i at håndtere komplekse operationer som TTA (Tibial Tuberosity Advancement) og andre procedurer, der sikrer, at dit kæledyr får den bedst mulige behandling og opheling.

Hos hunde opstår ofte operationskrævende ledlidelser i knæene, afhængig af hundens alder og race:

  1. Hos hunde af især store racer ses ofte skader på det forreste korsbånd, som regel i forbindelse med fysiske aktiviteter. Det er en af de hyppigste ledskader hos hunde.
  2. Hos unge uudvoksede hunde kan der ske en løsning af strækkesenens tilhæftning på skinnebensknoglen. Denne lidelse opstår som regel ved faldulykker, eller andre voldsomme overbelastninger.
  3. Hos hvalpe og unge hunde af mindre, og især meget hjulbenede racer, kan der forekomme en løshed knæskallens ledbånd, således at knæskallen kan glide ud af sin normal pos leje, og lejre sig fortrinsvis på knæets inderside. Lidelsen hedder patellaluxation. Lidelsen er arvelig betinget hos visse racer, men udløses nogen gange først efter et traume.

 

Albueled og hofteled kan gå af led ved f.eks. trafikulykker eller fald:

  1. Albuer, der er gået af led kan som regel sættes på plads med gode resultater og ofte bliver hundene helt haltfrie igen. En hofte, der er gået af led, kan også ofte sættes på plads
  2. En hyppig skade hos katte kan opstå ved fald fra store højder, hvor de blandt anden kan  brække kæben underkæben og få hoften revet af led.  

Simple knoglebrud på lemmeknogler hos hunde og katte opstår ofte ved fald- eller påkørselsulykker.